你知道吗?最近在网上看到一个真人心脏造影的视频,简直让人大开眼界!这可不是普通的医学影像,而是一段真实记录心脏跳动的视频,让人仿佛置身于心脏的世界中。今天,就让我带你一起走进这个神秘的世界,感受一下真人心脏造影的魅力吧!
一、揭秘心脏造影:什么是真人心脏造影?

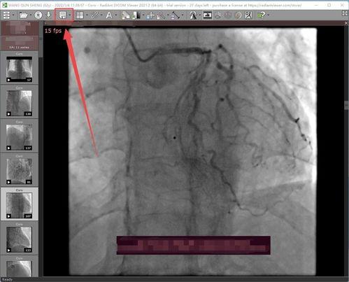
首先,得先弄清楚什么是心脏造影。心脏造影是一种医学检查方法,通过注入造影剂,使心脏的血管在X射线下显影,从而观察心脏的结构和功能。而真人心脏造影,顾名思义,就是用真实的人体心脏进行造影,记录下心脏跳动的全过程。
二、视频中的心脏:跳动不止的生命

这段真人心脏造影视频,让我看到了一个跳动不止的生命。视频中,心脏的肌肉在不断地收缩和舒张,仿佛在诉说着生命的顽强。你可以清晰地看到心脏的四个腔室,以及它们之间的血管连接。每一个细节都如此真实,让人不禁为之心动。
三、技术突破:高清真人心脏造影

你知道吗?这段视频之所以如此清晰,得益于现代医学技术的突破。现在的真人心脏造影技术已经非常成熟,可以捕捉到心脏跳动的每一个瞬间。而且,视频的分辨率极高,让人仿佛置身于现场,亲眼目睹心脏的跳动。
四、医学价值:助力心脏疾病诊断
真人心脏造影视频不仅具有观赏价值,更重要的是,它具有极高的医学价值。医生可以通过这段视频,更直观地了解患者的心脏状况,从而为诊断和治疗提供有力依据。对于那些患有心脏疾病的人来说,这样的视频无疑是一种福音。
五、感受生命:珍惜每一个跳动
看完这段真人心脏造影视频,我深深地感受到了生命的可贵。每一个跳动的瞬间,都是生命的奇迹。这段视频让我更加珍惜自己的生命,也让我更加关注身边的人。毕竟,健康才是最大的财富。
这段真人心脏造影视频让我对心脏有了更深入的了解,也让我对生命有了更深刻的感悟。在这个快节奏的时代,让我们停下脚步,感受一下生命的美好吧!